メインイメージ メインイメージ
  • 24時間受付 WEB予約 うえだ歯科植木診療所
  • 24時間受付 WEB予約 うえだ歯科岩瀬診療所

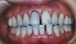
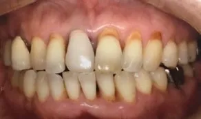
重度の歯周炎があったが適切な治療と予防処置があった23年後の世界

before

before

広汎型重度慢性歯周炎、ステージⅢ、グレードC

after

after
担当衛生士とのツーショット

2000年初診時
歯茎が熟れたトマトの様な歯肉、歯間も隙間もできたステージⅢ、グレードC の57歳の女性。

2023年3月
23年後の現在。一本の歯も失わず、81歳に成りました。

23年間連れ添った担当衛生士とのツーショット。歯周治療と予防は一枚のコインの裏表。

厚生労働省認可

理事長あいさつ

日本歯周病学会 専門医

出身であるこの鎌倉市で開業したのは、地域に密着したホームドクター的な立場で歯科医師という仕事をしたかったためです。

開業する前は、みなとみらいにある大企業内の診療室に勤務していました。 企業内の診療室では、限られた時間帯、期間でしか患者さまと接することができません。それよりも子どもの頃から診せていただいて、家族ぐるみで長くおつきあいさせていただきたい。それが歯科医師として私が選んだスタンスなのではないかと考えたのです。

ご高齢の方の訪問治療に伺うと、患者さまご本人が治療をとても楽しみにしておられ、またご家族の方も本当に感謝してくださいます。そんなことばを聞くと、こういう仕事をしていてよかったなと感じます。

歯科医師会の仕事をできるだけ協力させていただいています。例えば、鎌倉市の検診、歯周病の検診、3歳児検診、小学校の校医の就学時検診に参加させていただいております。

また、湘南鎌倉総合病院の協力医であり、付属の特別養護老人ホーム(愛の郷)へ1週間に1回訪問し、健診、口腔ケア、治療を行なっております。

衛生士募集中

当院では、私たちと一緒に頑張ってくださる歯科衛生士を募集しています!ご興味のある方は、お電話にてお気軽にお問い合わせください!

植木診療所

〒247-0073
神奈川県鎌倉市植木361-3

アクセス:
JR大船駅西口 渡内経由藤沢駅行き
バス乗車 植木バス停下車 徒歩1分
駐車場あり

岩瀬診療所

〒247-0051
神奈川県鎌倉市岩瀬1-11-25

アクセス:
JR大船駅東口 バスターミナル5番線
バス乗車 岩瀬住宅前バス停下車
駐車場あり

PAGE TOP